Nutzen
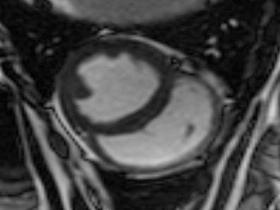
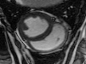
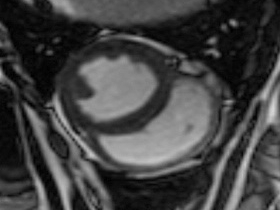
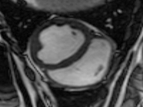
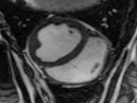
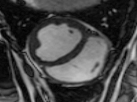
Easy-Trigger ist ein Medizinprodukt für die Herz- und Gefäßbildgebung in der Magnetresonanztomographie (MRT), das bifunktional bei Ungeborenen und Erwachsenen eingesetzt werden kann. Als weltweit erstes und einziges MRT-taugliches Doppler-Ultraschallgerät ermöglicht es erstmals Kombinationsuntersuchungen von MRT und Ultraschall. Der Ultraschallkopf wird auf dem Bauch oder über dem Herzen des Patienten platziert. Es ermöglicht erstmals die zeitliche Abstimmung der Herzaktion von ungeborenen Kindern mit dem MRT und damit MRT-Untersuchungen des kindlichen Herzens. Des Weiteren kann es zur Überwachung der Ungeborenen bei MRT-Untersuchungen von Schwangeren eingesetzt werden. Durch die Verwendung der Doppler-Ultraschall-Technik ist die Anwendung am Erwachsenen im Vergleich zum EKG robuster, einfacher und sogar bei höheren Feldstärken einsetzbar, bei denen das EKG nicht mehr zuverlässig arbeitet.
Auszeichnung
Easy-Trigger wurde bereits als besonders innovative medizintechnische Entwicklung mit dem German High Tech Champions Award in Medical Imaging der Fraunhofer-Gesellschaft und des BMBF ausgezeichnet.
Forschung
Die wissenschaftlichen Ergebnisse wurden in internationalen Peer-Review-Journals publiziert:
- Schoennagel BP, Remus CC, Yamamura J, Kording F, de Sousa MT, Hecher K, Fischer R, Ueberle F, Boehme M, Adam G, Kooijman H, Wedegaertner U:
Fetal blood flow velocimetry by phase-contrast MRI using a new triggering method and comparison with Doppler ultrasound in a sheep model: a pilot study.
MAGMA. 2014 Jun;27(3):237-44.
- Kording F, Yamamura J, Much C, Adam G, Schoennagel B, Wedegärtner U, Ueberle F.:
Evaluation of an MR Compatible Doppler-Ultrasound Device as a New Trigger Method in Cardiac MRI: A Quantitative Comparison to ECG.
Biomed Tech (Berl). 2013 Sep 7.
- Kording F, Schoennagel B, Much C, Ueberle F, Kooijman H, Yamamura J, Adam G, Wedegaertner U:
MRT-Herzbildgebung mit neuem Triggerverfahren: MR kompatibles Doppler Ultraschall Gerät im Vergleich zum EKG.
Fortschr Röntgenstr 2013; 185.
- Yamamura J, Kopp I, Frisch M, Fischer R, Valett K, Hecher K, Adam G, Wedegärtner U:
Cardiac MRI of the Fetal Heart Using a Novel Triggering Method: Initial Results in an Animal Model.
J Magn Reson Imaging. 2012 May;35(5):1071-6.
- Wedegärtner U, Frisch M, Kopp I, Grässner J, Hecher K, Adam G, Yamamura J:
Cardiales MRT des fetalen Herzens: Triggerung der fetalen Herzfrequenz mit einem MR kompatiblen Doppler-Ultraschall.
Fortschr Röntgenstr 2011; 183.
Informationsmaterial
Für weitere Informationen stehen folgende Materialien zum Download bereit:
- Flyer (PDF-Format)































